منظمة عربية
غير حكومية وغير ربحية، ذات نفع عام تعمل على تحقيق الأهداف الإنسانية المتعلقة بالمفقودين والضحايا.
رقم الاشهار 2055
نسعى إلى عالم لا تُترك فيه العائلات في حالة غموض بشأن مصير أحبائها وحيث يتم التعامل مع جميع الضحايا بكرامة واحترام نحن نؤمن بأن البحث عن المفقودين ليس مجرد عمل إنساني بل هو التزام أخلاقي تجاه الإنسانية جمعاء
الاهداف
الاهداف والنشاط الرئيسي
نقدم خدمة متميزة من خلال العمل الجماعي


الوعي العام
العينات الحيوية
التدريب
انشاء مختبرات لتحليل الحمض النووي
انشاء قاعدة بيانات وطنية
اقامة حملات لتثقيف المجتمعات باهمية الابلاغ عن المفقودين بطرق صحيحة
تقديم الدعم القانوني والنفسي لكافة الفئات
التقنية، النفسية، الصحية
تنظيم دورات تدريبية في كافة المجالات






هناك العديد من الأشخاص الذين فقدوا أقاربهم دون أن يعرفوا مصيرهم هذه المعاناة والجهل والهمال تترك جروحاً عميقة في المجتمعات وتمنعها من تحقيق السلم الاهلي والامان الاجتماعي وهنا يكون دورنا الأساسي
التواصل العالمي توفير الدعم في مختلف البلدان والمناطق حول العالم
استخدام تقنيات متقدمة مثل تحليل المعرفة والطب الشرعي للفقراء من خلال التعاون مع إدوارد المنظمات الدولية، والمجتمعات المحلية مواقع المقابر الجماعية
تقديم الدعم الفني للفرقة في مجال البحث عن المفقودين والتعرف على الأجنحة عبر رفع الوعي العام حول أهمية هذا العمل وأثره على المجتمعات
New
Sanna Hope المؤسسة العربية السورية للرفات
مهمتنا التعاون مع السلطات المحلية , الطب الشرعي , المجتمع المدني


الإغراض الشخصية
تُستخدم الأغراض الشخصية كـمؤشر أولي ومساعد في عملية التعرف على الجثث، خاصةً إذا كانت بحالة سليمة أو حديثة. تشمل هذه الأغراض أشياء مثل البطاقات التعريفية (هوية، رخصة قيادة)، المجوهرات، الملابس الفريدة، إلا أنها توفر أدلة إضافية هامة تدعم نتائج الفحوصات العلمية مثل تحليل الحمض النووي أو بصمات الأصابع أو سجلات الأسنان.


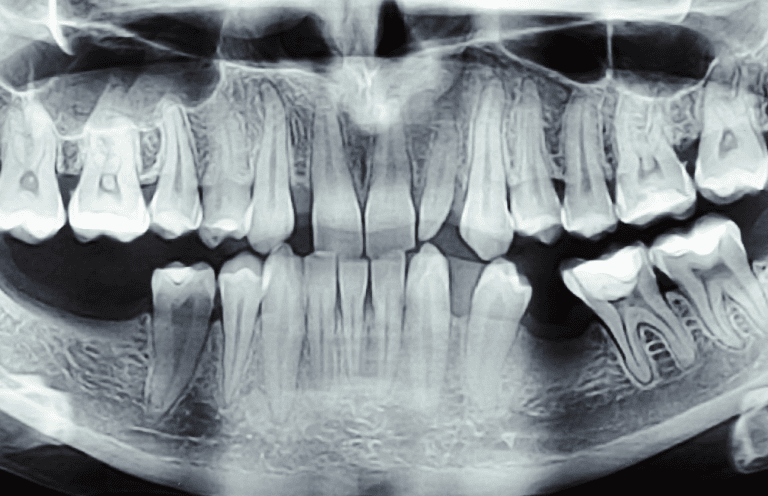
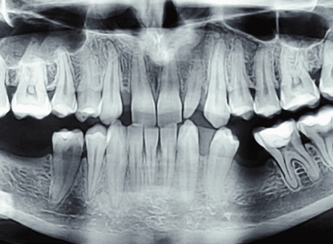
تحليل الأسنان
تحليل الأسنان للتعرف على الأشخاص (Forensic Odontology) هو مجال في الطب الشرعي يستخدم الأسنان لتحديد هوية الأفراد. تعتمد هذه العملية على أن الأسنان فريدة لكل شخص ومقاومة للغاية للتحلل والتلف، مما يجعلها مصدرًا موثوقًا للمعلومات حتى بعد الكوارث. تتم مقارنة السجلات السنية المتاحة للتعرف على الرفات المجهولة أو ضحايا الحوادث.




البيانات الشخصية والنتائج الطبية
تعتمد هذه الطريقة على مطابقة البيانات الشخصية (كالعمر، الجنس، الطول، الوزن، والعلامات الفارقة كالوشوم أو الندوب) مع النتائج الطبية (كسجلات الكسور السابقة، العمليات الجراحية، أو الأجهزة المزروعة كشرائح تثبيت العظام). تُقارن هذه المعلومات المتوفرة عن الجثة أو الرفات مع السجلات الطبية والشخصية للأشخاص المفقودين. ورغم أنها ليست حاسمة دائمًا، إلا أنها توفر مؤشرات قوية ومكملة لطرق التعرف الأخرى، وتساعد في تضييق نطاق البحث بشكل كبير.
الحمض النووي
يُعد تحليل الحمض النووي (DNA) الطريقة الأكثر دقة وموثوقية لتحديد هوية الأشخاص في الطب الشرعي. يتم ذلك باستخراج عينة من الحمض النووي (من الدم، اللعاب، العظم، الشعر، أو الأنسجة)، ثم تحليل مناطق محددة وفريدة جدًا لكل فرد (باستثناء التوائم المتطابقة) لإنشاء "بصمة وراثية". تُقارن هذه البصمة بالعينات المرجعية من الأقارب أو قواعد البيانات لتأكيد الهوية، حتى في حالات الجثث المتحللة أو المشوهة بشدة.
